The costs of your veneers may usually be covered by your dental insurance plan or extended dental coverage. If you are looking for more information about a specific service and the costs associated, contact one of our representatives for help. Our treatment coordinators can help you come up with an affordable way for you to pay for the oral health services you need. For more savings visit our specials page, sign up for our informational newsletter below, and like our Facebook page.
What is Veeners?
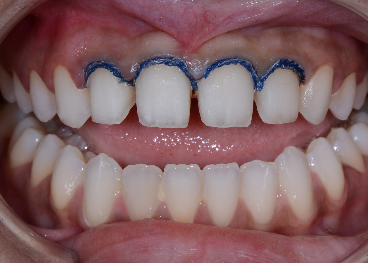
Considered a great alternative to dental crowns, veneers are ultra-thin shells made from either porcelain or a composite resin material, that are often bonded to the front teeth in order to help improve your overall appearance. Often referred to as “Hollywood teeth”, veneers are popular amongst those in the entertainment industry and anyone who is expected to look beautiful for a living.
This process is widely used because it is ideal when considering tooth color, shape, or size when cosmetically repairing an imperfect smile. Though they are affixed to your permanent teeth, they do not last forever; but proper maintenance will ensure that they hold up for years to come.
When Do I Need Veeners?
While there are a number of reasons why one may need veneers, some of the most common reasons include the following:
- You are unhappy with your smile
- You have cracked, chipped, or broken teeth
- You have teeth that are excessively stained, and regular whitening products have not helped you
- You have at least one gap between your front teeth
- You have teeth that are irregular, misshapen, uneven, crooked, or otherwise misaligned
What Is The Cost of Dental Veeners?
How To Pay For Your Dental Treatment?
Don’t worry if you have reached the maximum cap with your insurance provider for the year or do not otherwise have coverage to pay for your dental treatment, there are other options available.
We offer a convenient list of options for making payment arrangements, and we work hard to make many third-party lenders and other types of credit programs available for our patients.
WHAT OUR PATIENTS SAY ABOUT US
I visited Luxx Dental on the recommendation of a friend, and recently had my first appointment there. They were very professional and scheduled my initial exam (which I got it for free) and cleaning together, so that I didn't have to come back for a second appointment.
Juan Martinez,
Deep CleaningDr Nyugen and all the staff have always been very friendly and we have received our services in a timely manner.They have always worked with my to make sure that we were able to get everything we needed done at a reasonable price...
